Clinicalsci.info provides practical, expert-guided content on clinical laboratory techniques, diagnostic workflows, and molecular biology procedures, helping students and professionals strengthen their laboratory skills and understanding.
Latest Posts
Laboratory Diagnosis of Leishmaniasis
Introduction Leishmaniasis, a vector-borne disease caused by protozoan parasites of the genus Leishmania, is transmitted through bites of infected female sandflies. As a neglected tropical disease, it affects millions globally, necessitating accurate laboratory diagnosis for effective management. The World Health Organization (WHO) estimates 12 million people are affected, with approximately
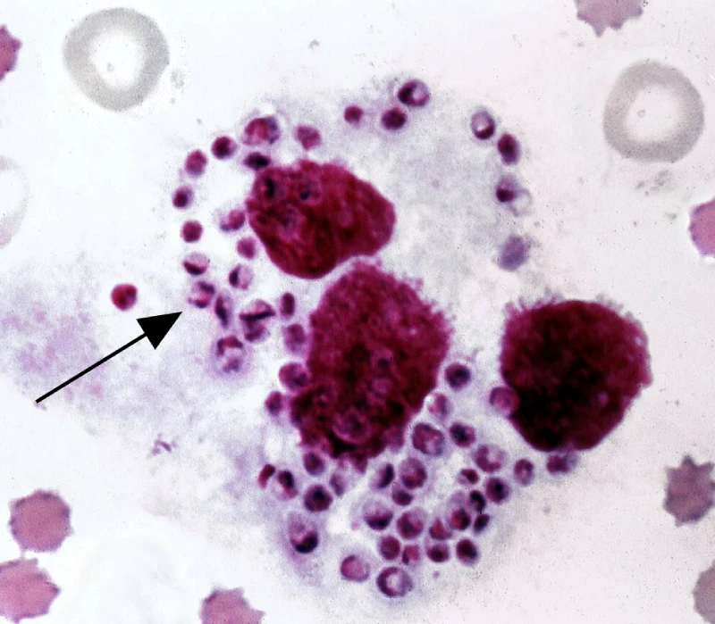
Laboratory Examination of Synovial Fluid
Introduction Synovial fluid is a clear, viscoelastic liquid within synovial (diarthrodial) joints, crucial for lubrication and joint health. Arthrocentesis, the aspiration of synovial fluid, serves as a “liquid biopsy” that aids diagnosis and treatment of joint diseases by relieving pressure and providing diagnostic clues for infections, crystal arthropathies, inflammatory, and
Rapid Immunoassays: Principle, Mechanism and Applications
Introduction Rapid immunoassays (RIAs) are a class of diagnostic tests designed to detect specific molecules such as antigens, antibodies, hormones, or drugs in clinical samples quickly and accurately. They have revolutionized point-of-care testing (POCT) by providing timely diagnostic information outside traditional laboratory settings. The rapidity, cost-effectiveness, and ease of use
Laboratory Diagnosis of Deep Vein Thrombosis: Tests, Interpretation & Clinical Significance
Introduction Deep vein thrombosis (DVT) is a significant clinical condition characterized by the formation of blood clots within the deep venous system, most commonly in the lower extremities. It poses serious health risks, primarily due to the potential for thrombus dislodgment leading to pulmonary embolism (PE), a life-threatening complication. Epidemiological
VDRL and RPR Test: Procedures, Interpretation, Clinical Significance
Introduction Syphilis remains a globally relevant sexually transmitted infection (STI), despite modern prevention and treatment strategies. Early detection and timely treatment are essential to prevent long-term complications such as neurosyphilis, cardiovascular syphilis, or congenital transmission. The VDRL (Venereal Disease Research Laboratory) and RPR (Rapid Plasma Reagin) tests are cornerstone tools
Tissue Processing in Histopathology Laboratory
Tissue processing is a critical technique in histopathology that prepares tissue specimens for microscopic examination. Through this meticulous process, samples are preserved, allowing pathologists to examine cellular structures for the diagnosis of various diseases. Introduction What is Tissue Processing? Tissue processing in histopathology refers to the systematic procedure of preparing





